五、甲状腺肿瘤《病理学》

五、甲状腺肿瘤

(一)甲状腺腺

甲状腺腺(thyroid adenoma)是常见的甲状腺良性肿,多见于青、中年妇女,出现功能亢进者不过1%。肿绝大多数为单发,大小从直径数毫米到3~5cm。肿中心有时可见囊性变、纤维化或钙化。借助以下特点可与结节性胶样甲状腺肿中的结节相区别:有完整的包膜,压迫周围组织,内组织结构比较一致,其形态与周围甲状腺组织不同。病理组织学上可分为以下两种。

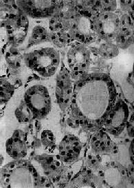
1.滤泡性腺(follicular adenoma)根据滤泡分化程度,又可分为以下几种亚型:①胚胎性腺(embryonal adenoma),细胞小,排列成条索状或小片状,有少量不完整的滤泡状腺腔散在,有较多呈水肿的疏松纤维间质;②胎儿型腺(fetal adenoma),由许多小滤泡构成,上皮细胞为小立方形,滤泡腔内多不含胶质,与胎儿甲状腺组织相似(图15-9)。间质较丰富,呈水肿或粘液变性,此型易发生囊性变或出血;③单纯型腺(simple adenoma),由与正常甲状腺相似的滤泡构成,间质较少;④胶样腺(colloid adenoma),滤泡较大,充满胶质,间质少;⑤嗜酸性细胞腺(acidophilic cell adenoma,亦称Hürthle cell adenoma),细胞大而多角形,核小,胞浆丰富,有嗜酸性颗粒,排列成索状或巢状,也可形成不完整的滤泡腔。本较少见。

胎儿型甲状腺腺<a href=瘤"/>

图15-9 胎儿型甲状腺腺

2.乳头状腺(papillary adenoma)滤泡上皮细胞排列成单层,呈乳头状向腺腔内突出,滤泡常形成大囊腔,故亦称囊性乳头状。间质少,肿常并发出血、坏死及纤维化。

(二)甲状腺

甲状腺(carcinoma of thyroid)在不同地区发病率差别很大,虽然本病恶性程度不同,与其他器官相比,发展较缓慢。值得注意的是,有的原发灶很小,临床上常首先发现转移病灶。主要有以下4种类型。

1.乳头状腺(papillary adenocarcinoma)占甲状腺的40%~60%,青少年女性多见,生长较慢,肉眼发现时多为1~2cm的圆形肿块,无包膜,少数有不完整的包膜,以后逐渐向周围浸润。切面灰色或灰棕色,质地有的较软有的软硬。镜下,细胞围绕一纤维血管中心轴呈乳头状排列,乳头分支较多(图15-10)。细胞立方形或矮柱状,其特点是核染色质少,呈透明或毛玻璃样,无核仁。可伴有单纯型甲状腺滤泡,间质中常有砂粒体出现。本发现时约50%已有颈部淋巴结转移,有时原发灶后于转移灶发现,有的原发灶甚至小到难以觉察的程度。此恶性程度低,5年存活率达75%。

甲状腺乳头状腺<a href=癌"/>

图15-10 甲状腺乳头状腺

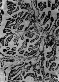
2.滤泡性腺(follicular adenocarcinoma)占甲状腺的10%~15%,多见于50岁以上女性。早期即可出现血行转移,原发灶切除后5年存活率为30%~40%。肉眼观,肿灰白色,有的为结节状,有不完整包膜,貌似腺;有的广泛浸润于甲状腺内,进而侵犯气管壁、颈部血管、肌肉及喉返神经。镜下见不同分化程度的滤泡,分化良好者,滤泡结构较规整,细胞异型性亦较低,不易与腺区别(图15-11),须注意包膜或血管是否有细胞浸润来加以鉴别。分化不良者,滤泡少,滤泡形态不整,有的呈实性细胞巢,细胞异型性较明显,核分裂像多见。少数情况下本主要由嗜酸性细胞构成,故亦称嗜酸性细胞

甲状腺滤泡性腺<a href=癌"/>

图15-11 甲状腺滤泡性腺

3.未分化(undifferentiated carcinoma)约占甲状腺15%,恶性度高,生长快,早期即可向周围组织浸润并发生转移。患者多在50岁以上,无男女差别。肉眼观,切面灰白色,常有出血、坏死。根据组织形态可分为小细胞型、巨细胞型和梭形细胞型。小细胞型由小圆形细胞构成,呈弥漫分布,与恶性淋巴颇相似,用免疫组化鉴别,如细胞显示角蛋白(Keratin)或胚抗原(CEA),则可确定其来源于上皮组织。巨细胞型预后最差,镜下细胞大小不一,形态各异,常有巨核细胞及多核巨细胞(图15-12)。

甲状腺未分化<a href=癌"/>

图15-12 甲状腺未分化

细胞异型性明显,可见巨核细胞

4.髓样(medullary carcinoma)是从滤泡旁细胞(亦称C细胞)发生的,占甲状腺的5%,有的具有家族性,发病年龄在30岁左右,散发病例年龄多在50岁以上。恶性程度不一,平均存活6.6年。90%肿分泌降钙素,有的还同时分泌CEA、生长抑素、前列腺素及其他多种激素和物质,故血中该激素水平增高,表现为典型的多发性内分泌腺

肉眼观,散发病例开始多为单个肿块,而家族性病例常为多中心性。肿呈黄褐色,较软,境界清晰故乍看似有包膜。镜下细胞为圆形、多角形或梭形小细胞,排列成簇状、索状,偶见小滤泡形成。间质比较丰富,常有淀粉样物质和钙盐沉着。电镜下,细胞胞浆内有直径100~250mm的神经内分泌颗粒。

上一页:四、甲状腺炎
当前页:五、甲状腺肿瘤
下一页:一、甲状旁腺功能亢进及甲状旁腺增生症

返回目录